


Langjährige Spezialisierung in der Diagnose und Behandlung von Augenerkrankungen – vertrauensvolle Betreuung von über 100 Patienten.

Jeder Patient erhält eine maßgeschneiderte Behandlung, abgestimmt auf Krankheitsbild, Lebenssituation und persönliche Bedürfnisse.

Einsatz innovativer Technologien für präzise Untersuchungen, zuverlässige Verlaufskontrolle und frühzeitige Erkennung von Risiken.

Kombination aus schulmedizinischer Augenheilkunde und ergänzenden Methoden für nachhaltige Behandlungserfolge.
Gepostet auf Petra SeidlTrustindex überprüft, ob die Originalquelle der Bewertung Google ist. In meinen "Augen" der beste Optiker weit und breit. Nicht nur die hervorragenden Untersuchungen an diversen Geräten, sondern auch das naturheilkundliche Fachwissen ist Einzigartig. Hier steht Prävention an erster Stelle. Ich fühle mich rundum sehr gut versorgtGepostet auf Carina WimmerTrustindex überprüft, ob die Originalquelle der Bewertung Google ist. Augenoptik Hilger steht für kompetente Beratung und ausführliche Untersuchungen – genau das, was man sich bei der Wahl einer neuen Brille oder Kontaktlinsen wünscht. Durch unsere geschäftliche Zusammenarbeit habe ich auch einen umfassenden Einblick in seine Spezialisierung auf Makuladegeneration erhalten. Es ist beeindruckend zu sehen, mit wie viel Fachwissen und moderner Diagnostik hier gearbeitet wird, um Menschen mit Makula-Erkrankungen bestmöglich zu unterstützen. Wer nach einer fundierten Beratung und innovativen Lösungen sucht, ist hier definitiv an der richtigen Adresse.Gepostet auf mica abdusevicTrustindex überprüft, ob die Originalquelle der Bewertung Google ist. Kompetente, ganzheitliche Beratung und spürbar individuelle Betreuung. Im Hilger Zentrum steht der Mensch im Mittelpunkt – eine wertvolle Ergänzung zur klassischen Augenheilkunde. Sehr zu empfehlen!Gepostet auf Michael LührTrustindex überprüft, ob die Originalquelle der Bewertung Google ist. Ein sehr kompetentes Team. Herr Hilger hat sich 2 Stunden lang Zeit genommen für die Untersuchung mit hochwertigen Geräten(von Zeis). Es war eine sehr gute Beratung. Ich trage jetzt eine Gleitsichtbrille mit der ich sehr zufrieden bin. Ich kann diese Praxis sehr empfehlen.Gepostet auf R. St.Trustindex überprüft, ob die Originalquelle der Bewertung Google ist. Seit vielen Jahren trage ich eine Brille und ich habe auf Grund dieses Umstandes bereits mehrere Optiker kennengelernt. Durch einen Zufall kam ich zu Herrn Hilger in Bad Füssing. Die fachliche Kompetenz und enorme Geduld von Herrn Hilger sowie die Ausstattung mit modernsten optischen Geräten führten zu einer präzisen Diagnostik und einer perfekten Prismenglasbestimmung für meine Augen. Seitdem gehören meine Augenschmerzen der Vergangenheit an. Die umfassende Beratung sowie das perfekte Service, egal, ob die Brille nicht richtig sitzt oder ein Teil ersetzt werden muss, sind der Grund, warum ich bei Bedarf nach wie vor mehr als 100 km nach Bad Füssing fahre. Herr Hilger zeichnet sich auch als Heilpraktiker durch große Fachkompetenz aus. In meinem Fall waren es persönliche Verordnungen sowie ein Therapieplan auf Grund der Laborergebnisse, um zum Beispiel den Mangel an Mineralstoffen und Spurenelementen für meinen Stoffwechsel zu optimieren. Fazit: Ich kann Herrn Hilger und sein äußerst freundliches und zuvorkommendes Team nur wärmstens empfehlen!Gepostet auf Marita HaglTrustindex überprüft, ob die Originalquelle der Bewertung Google ist. Seit vielen Jahren trage ich eine Lesebrille. Vor über 6 Jahren Diagnose Glaukom. Nach ca. 3 Jahren Diagnose "altersbedingte Maculadegeneration trocken", Anfangsstadion, was man tun kann ist hier bekannt. Die Schulmedizin sagt „nichts“. Das war heftig. Schon viele Jahrzehnte ergänze ich jedoch Schulmedizin mit Komplementärmedizin und machte mich auf die Suche. Siehe da, im Internet fand ich in Bad Füssing das Zentrum für alternative Augenheilkunde, Herrn Hilger mit Team. Der Bayerische Wald ist meine Lieblingsgegend, also vereinbarte ich zügig einen Termin. Es erfolgten Untersuchungen wegen dem Glaukom und AMD trocken mit perfekten Zeiss-Geräten, wobei natürlich diese Bilder und Werte zum Vergleich stets festgehalten werden. Blut wird regelmäßig abgenommen für die Labordiagnostik. Die Blutwerte werden besprochen und erklärt, wie auch der Therapieplan. Darin enthalten: Ernährungsberatung und Umstellung, Vitamine und Kolloidale bis zum heutigen Tag. Geduld, Geduld und nochmal Geduld. Ist ja nicht meine Stärke. Angefertigt wurde noch eine Sonnenbrille mit besonderem UV-Schutz wegen meinem Glaukom. Meine Erwartung war es, lediglich einen Stillstand herbeizuführen. Doch die letzte Untersuchung im April d.J. offenbarte freudige Aufnahmen, auch zu Herrn Hilgers Überraschung hat sich die Gewebestruktur wirklich, merklich und sehr gut verbessert. Das ist natürlich eine super Motivation. Auf meinen Wunsch hin habe ich diese Bilder auch erhalten. Die routinemäßigen Untersuchungen werden beim Augenarzt regelmäßig durchgeführt und die Medikation wird befolgt. Dem Team für die stets sehr freundliche, besonders kompetente und geduldige Begleitung vielen herzlichen Dank. Herr Hilger ist mit seinem Wissen, seiner langjährigen Erfahrung und seiner Kompetenz sehr zu empfehlen. Machen Sie sich auf den Weg, es lohnt sich, dieses Zentrum für Augen aufzusuchen. Mit sehr freundlichen Grüßen nach Bad Füssing aus Geisenfeld. Heute, 19.02.2025 war meine alljährliche Untersuchung bei Herrn Hilger. Nach wie vor halte ich mich an die Ernährungsempfehlung und an die Anordnungen wegen der zusätzlichen Vitamine und Kolloidale. Zu meiner Freude konnte auch heute wieder eine Verbesserung der Gewebsstruktur festgestellt werden durch farbige Darstellung der Bilder, von beiden Augen, im Vergleich zum Vorjahr. Wie stets, sehr ausführliche Information und Erklärung bei Nachfragen durch Herrn Hilger. Danke an das sehr freundliche und zuvorkommende Team. Viele herzliche Grüße aus Geisenfeld.Gepostet auf Rosemarie WendlTrustindex überprüft, ob die Originalquelle der Bewertung Google ist. Ich bin seid 10 Jahren bei Herrn Hilger wegen der altersbedingten Makuladegeneration in Behandlug. Durch die Behandlungen hat sich mein linkes Auge verbessert, und das rechte Auge ist nur um ein Geringes schlechter geworden. Kann die Behandlung sehr weiterempfehlen.Gepostet auf Carmen FraundorferTrustindex überprüft, ob die Originalquelle der Bewertung Google ist. Bestes Optikergeschäft. Danke an Tanja für die perfekte Beratung. Die neue Brille ist perfekt für die Arbeiten am Computer. Ich war von der Untersuchung und Sehtest beeindruckt. Deshalb auch gleich noch eine mega stylische Sonnenbrille in meiner Sehstärke geholt. Vielen Dank für meine Sehhilfen.Gepostet auf Petra SteinerTrustindex überprüft, ob die Originalquelle der Bewertung Google ist. Ich bin ohne Termin, wegen einer Frage rein und bin trotzdem sehr freundlich bedient worden.. Die spontane Beratung war sehr kompetent.. Ist auf jeden Fall weiter zu empfehlen!!Gepostet auf Felix Weiß (Xeno)Trustindex überprüft, ob die Originalquelle der Bewertung Google ist. Nach einigen Sitzungen bei herkömmlichen Augenärzten war ich schon beinahe am verzweifeln, da diese nichts organisches feststellen konnten und mich diese nur nach meiner eigenen Beschreibung mit der Diagnose "Visual Snow" schnell weitergeschickt haben ohne Hilfe. Durch Zufall bin ich dann über eine Googlesuche bei der Praxis von Herrn Hilger gelandet. Er und sein Team hat sich für mich sehr viel Zeit genommen, mir zugehört und mir einen klaren Plan gegeben, nachdem er im Gegensatz du den Ärzten etwas organisches finden konnte. Jetzt nach einigen Monaten lässt sich schon eine deutliche Verbesserung feststellen. Nur zu empfehlen.Mehr laden
Die Makuladegeneration entwickelt sich oft schleichend, bedingt durch nachlassende Zellenergie, oxidativen Stress und verminderte Regenerationsfähigkeit der Netzhaut. Erste Warnzeichen sind oft keine direkten Sehfehler, sondern unspezifische Symptome, die ernst genommen werden sollten. Später kommen deutliche Einschränkungen im Zentrum des Blickfeldes hinzu.
Frühe Warnzeichen
Schnelle visuelle Ermüdung, Kontrastverlust und erhöhte Blendempfindlichkeit.
Fortschreitende Symptome:
Nachtsehstörungen und verzerrtes Sehen (z.B. wellige Linien).
Akuter Notfall
Eine plötzliche Sehverschlechterung bedarf sofortiger augenärztlicher Abklärung.
Es gibt zwei Hauptformen der Makuladegeneration. Die Erkrankung beginnt in der Regel als trockene Form. Früherkennung ist hierbei entscheidend, um den Erhalt Ihrer Sehkraft bestmöglich zu unterstützen.
Trockene AMD (häufigste Form)
Etwa 80-90 % der Fälle. Sie entwickelt sich langsam über Jahre durch Stoffwechselablagerungen unter der Netzhaut.
Feuchte AMD
Entsteht oft aus der trockenen Form heraus. Hier bilden sich krankhafte, instabile Blutgefäße, was zu einer raschen Sehverschlechterung führt.
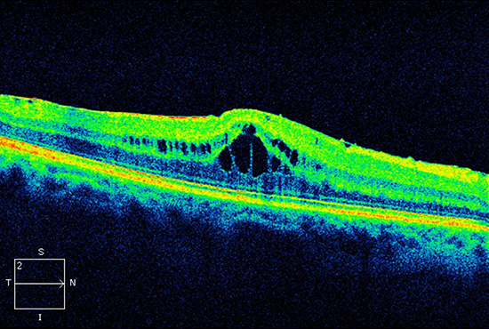
Diagnostik
Mit moderner Technik (wie OCT) können wir Veränderungen oft erkennen, bevor deutliche Symptome auftreten.
Wir ergänzen die klassische schulmedizinische Augenheilkunde durch einen ganzheitlichen, interdisziplinären Ansatz. Unser Ziel ist es, den Krankheitsverlauf zu verlangsamen und Ihre Lebensqualität und Selbstständigkeit möglichst lange zu erhalten
Orthomolekulare Medizin:
Individuell abgestimmte Nährstofftherapie (z.B. Makulaschutz durch Lutein, Zeaxanthin und Omega-3).
Naturheilkundliche Regulation
Gezielte Förderung der Mikrozirkulation und Entzündungsregulation.
Optische Spezialversorgung
Einsatz von kontrastverstärkenden Filtergläsern und vergrößernden Sehhilfen für mehr Sicherheit im Alltag.
Hier beantworten wir Ihre wichtigsten Fragen:
Warum ist bei Ihnen eine Makuladegeneration entstanden?
Welche Form liegt vor – trockene AMD mit Drusen oder atrophische AMD?
Wie groß und wo genau sind die geschädigten Netzhautbereiche?
Wie tief reichen die Veränderungen in die Netzhautschichten?
Krankheitstendenzen erkennen, lange bevor die üblichen Laborparameter abweichen.
Diese allgemeinen Störfaktoren werden vor Therapiebeginn behoben, damit wir ein optimales Ansprechverhalten auf die Therapie Ihrer Makuladegeneration erziehlen.
Wichtige Informationen zur Makuladegeneration kompakt erklärt
Die Netzhaut ist Teil des zentralen Nervensystems und eines der stoffwechselaktivsten Gewebe unseres Körpers. Eine beschleunigte Alterung entsteht durch das Zusammenspiel mehrerer Faktoren:
Die Makuladegeneration beginnt meist nicht plötzlich, sondern entwickelt sich schleichend im Zellstoffwechsel. Lange bevor der Augenarzt im Standard-Sehtest eindeutige Schäden sieht, sendet die Netzhaut funktionelle Frühwarnsignale:
Aus augenärztlich-neurologischer Sicht handelt es sich bei der feuchten Form um einen fehlgeleiteten Reparaturversuch des Körpers. Wenn die Netzhaut durch die trockene AMD chronisch unterversorgt ist (Sauerstoff- und Nährstoffmangel), schlägt sie Alarm und schüttet "Notrufsignale" (den Wachstumsfaktor VEGF) aus. Das Ziel des Körpers ist es, die Durchblutung durch neue Blutgefäße zu verbessern. Leider sind diese neu gebildeten Gefäße porös, entzündungsanfällig und schädigen die Makula durch austretende Flüssigkeit massiv.
Neurotrophe Faktoren (wie BDNF, NGF und CNTF) sind körpereigene Schutz- und Überlebenssignale für die Nervenzellen der Netzhaut. Sinken diese Faktoren im Alter oder durch Stress ab, wird die Netzhaut verletzlich:
Wir arbeiten ergänzend zur klassischen Augenheilkunde, um Ihre Netzhaut bestmöglich zu unterstützen. Unser Konzept umfasst:
Vereinbaren Sie jetzt Ihren Termin – wir beraten Sie persönlich und ausführlich.